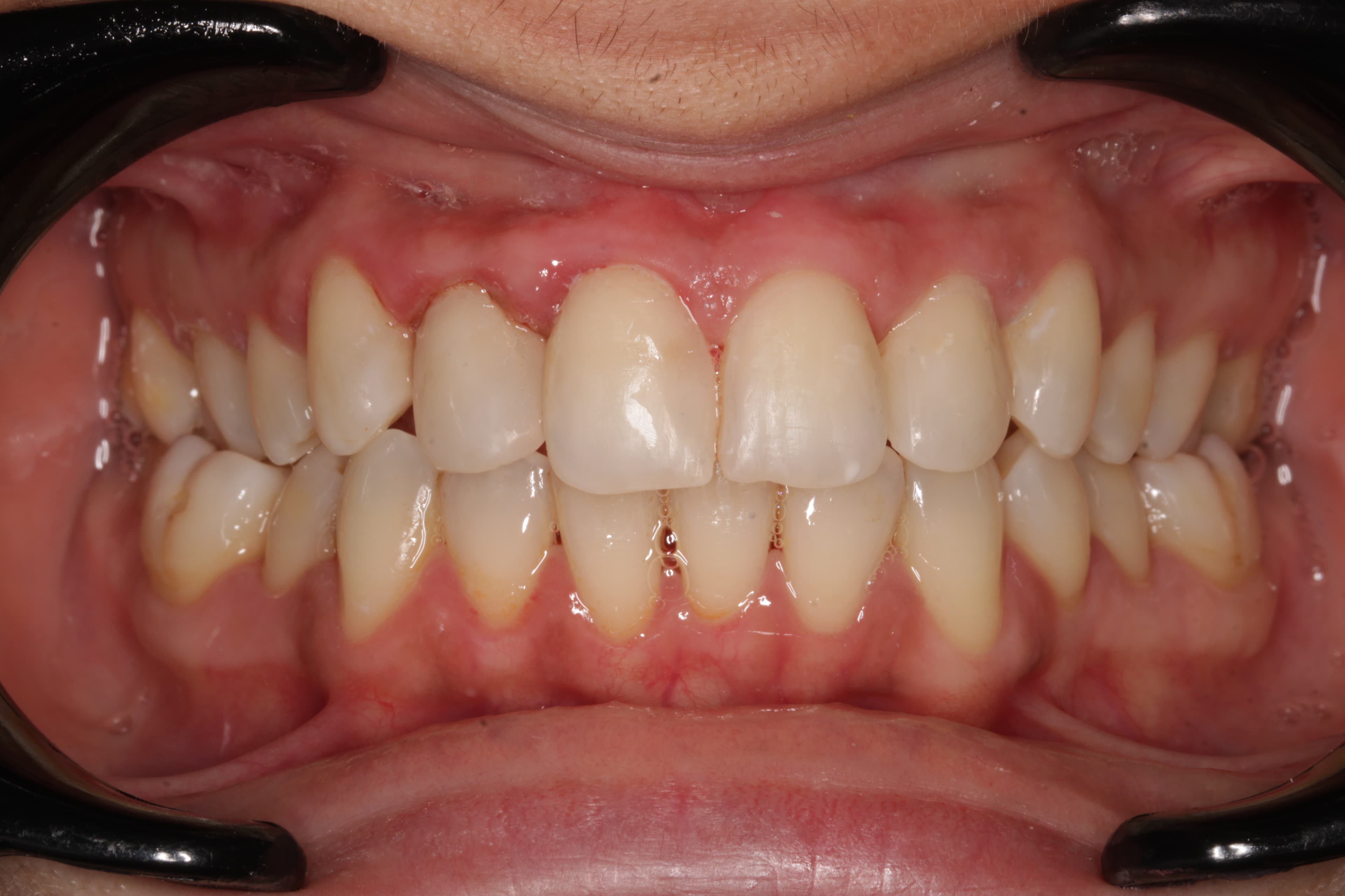
Tooth Colored Filling
Introduction
Dental fillings are one of the most common and effective treatments used to restore a tooth that has been damaged by decay or trauma. When a cavity forms due to tooth decay, it creates a hole in the enamel and dentin of the tooth. If left untreated, this hole can become deeper, causing pain, infection, or tooth loss. Dental fillings are used to restore the tooth to its normal shape and function, preventing further damage.
The process of getting a dental filling involves removing the decayed portion of the tooth and filling the cavity with a material that hardens to seal the tooth. Fillings can be made from a variety of materials, including silver amalgam, composite resins, gold, or ceramic, each with its own benefits depending on the location of the cavity and the patient's preferences.

Frequently Asked Questions
Conclusion
Dental fillings are a quick, effective, and common solution for treating cavities and restoring the function and appearance of your teeth. With various materials available, you can work with your dentist to choose the best option for your needs and preferences. If you experience symptoms of tooth decay, such as pain or sensitivity, it's important to schedule an appointment as soon as possible to prevent further damage and avoid more complex dental procedures.