Teeth Whitening
Introduction
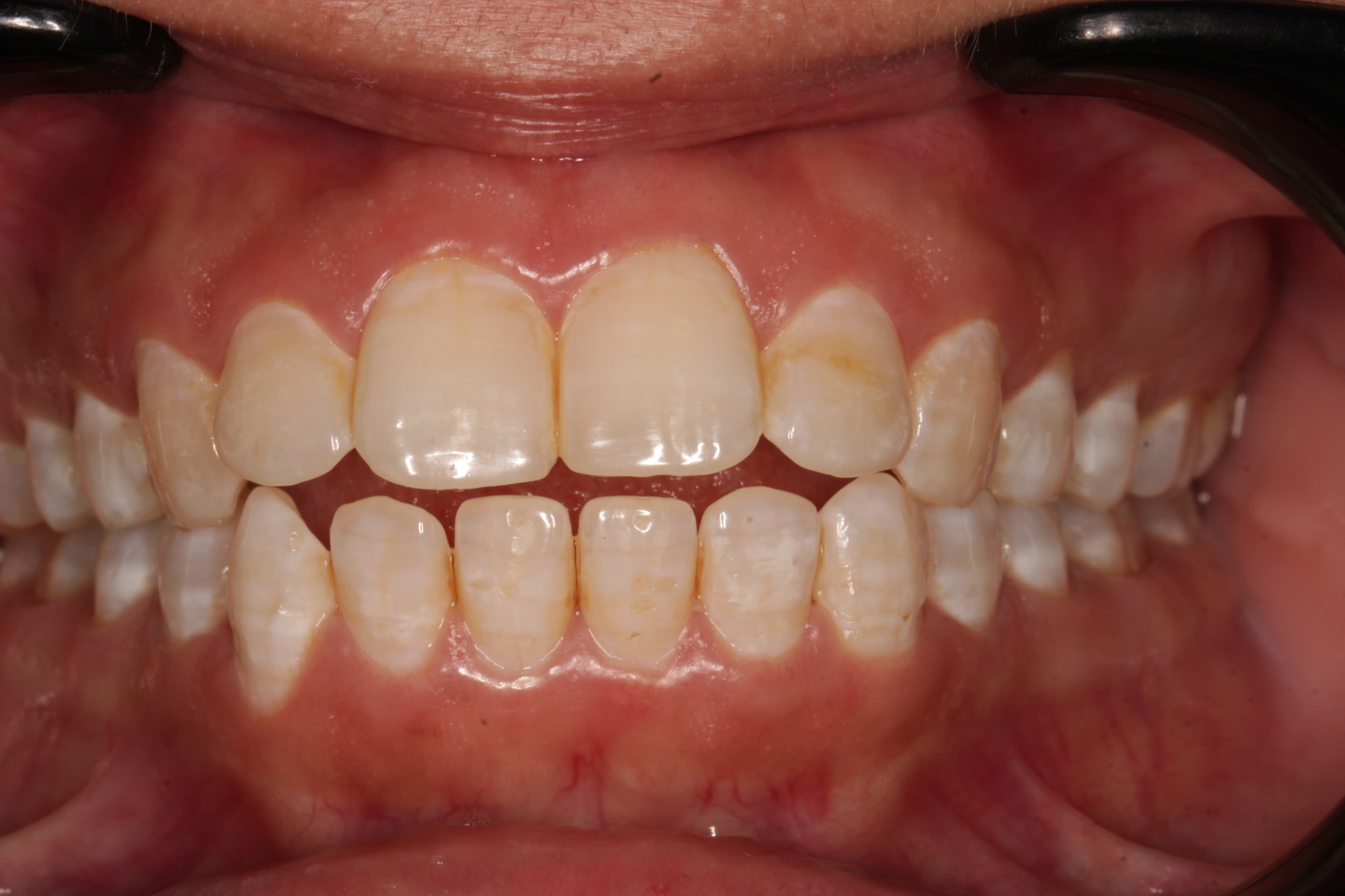
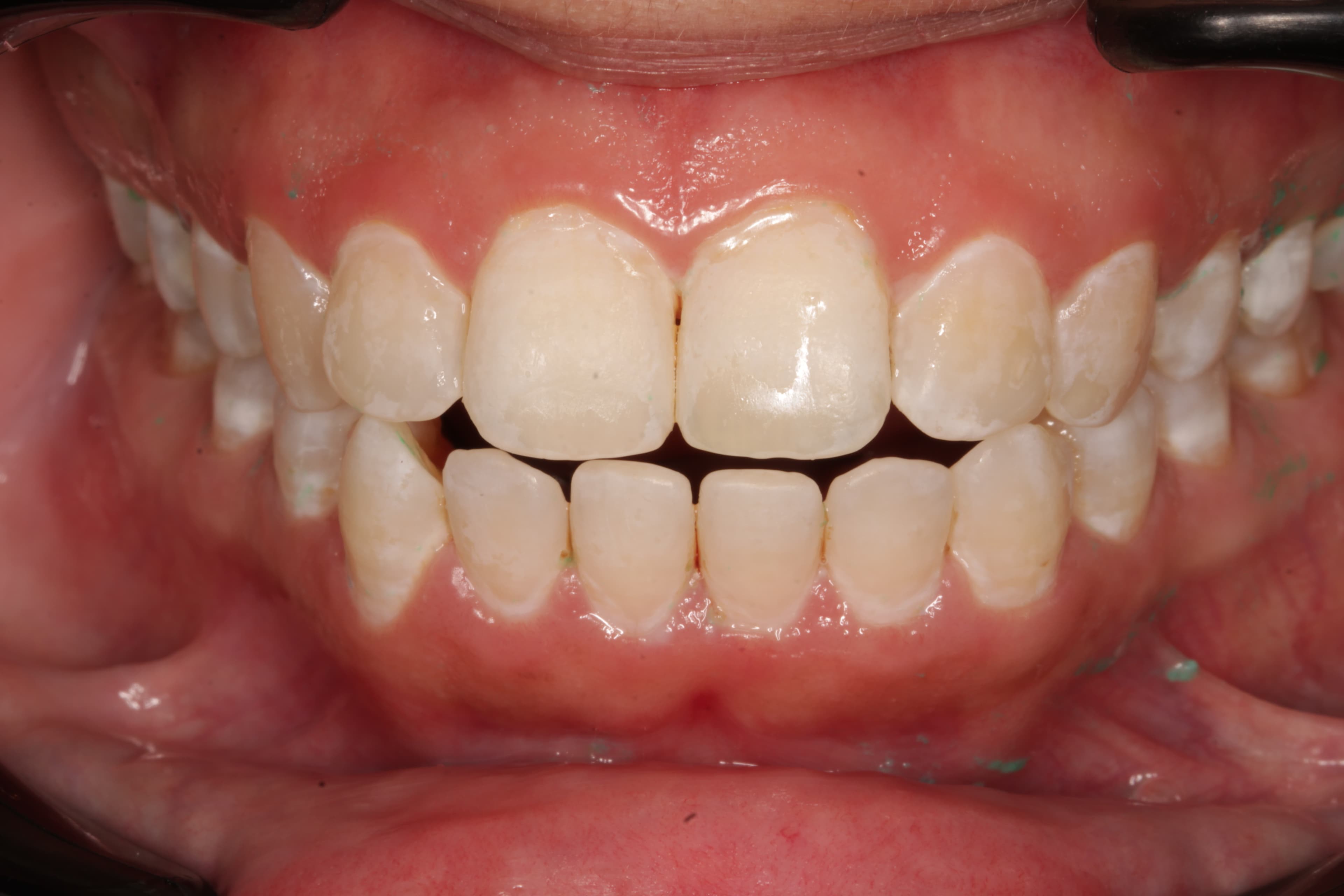
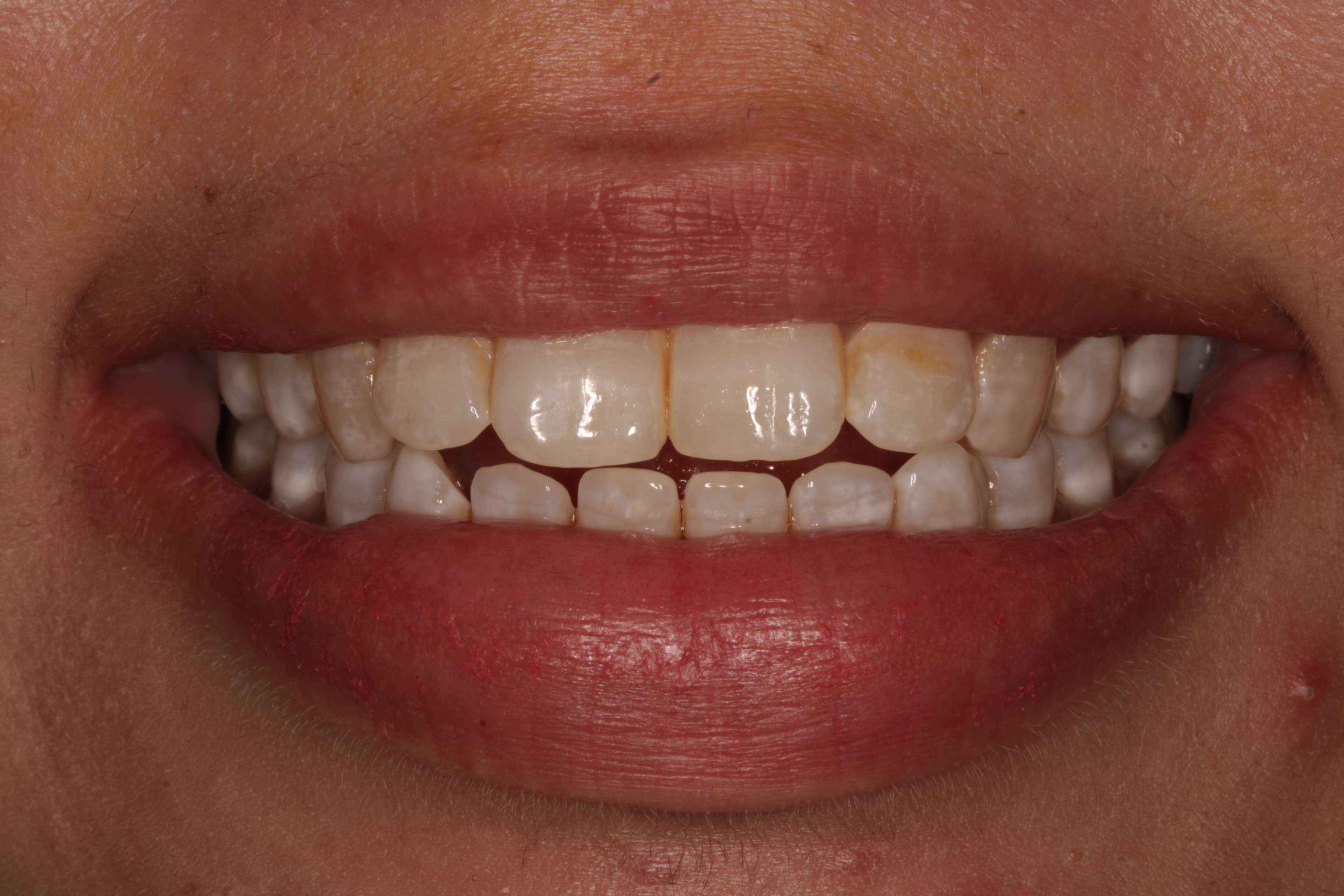
A professional teeth whitening treatment can brighten your smile and restore confidence by removing stains and discoloration caused by aging, food, beverages, smoking, and other lifestyle factors. Teeth whitening is one of the most popular cosmetic dental treatments because it is non-invasive, effective, and relatively affordable. There are a variety of options available, including in-office treatments, take-home whitening kits, and over-the-counter products.
However, while over-the-counter whitening products are available, professional treatments provided by your dentist offer more controlled results and are safer for your teeth and gums. Teeth whitening can help you achieve a brighter, more youthful appearance and enhance your overall smile.

Frequently Asked Questions
Conclusion
Teeth whitening is a simple and effective way to brighten your smile and restore confidence. Whether you choose an in-office treatment or a take-home kit, whitening can make a noticeable difference in the appearance of your teeth. It's important to consult with your dentist to determine the best whitening method for your individual needs, and to ensure the treatment is safe and effective for your oral health.