Full Mouth Rehabilitation
Introduction
Full Mouth Rehabilitation, also known as a Full Mouth Reconstruction, is a comprehensive dental treatment plan aimed at restoring all or most of the teeth in both the upper and lower jaws. It is often required when a patient has multiple dental issues such as severe tooth wear, decay, missing teeth, bite problems, or jaw joint issues (TMJ). The goal of full mouth rehabilitation is to improve both the function and aesthetics of the teeth and gums, allowing for better chewing, speaking, and a more natural, confident smile.
This procedure may involve a combination of treatments, such as crowns, bridges, dental implants, veneers, orthodontics, and other advanced dental techniques. Full mouth rehabilitation is customized based on individual needs and the dentist's evaluation.

Frequently Asked Questions
Conclusion
Full Mouth Rehabilitation is a transformative dental procedure designed to restore both the health and aesthetics of your smile. If you're experiencing significant dental issues, a consultation with a qualified dentist can help you determine if this comprehensive treatment is right for you. Whether you're looking to address functional problems or enhance your smile's appearance, full mouth rehabilitation can provide a customized solution to improve your overall oral health and quality of life.
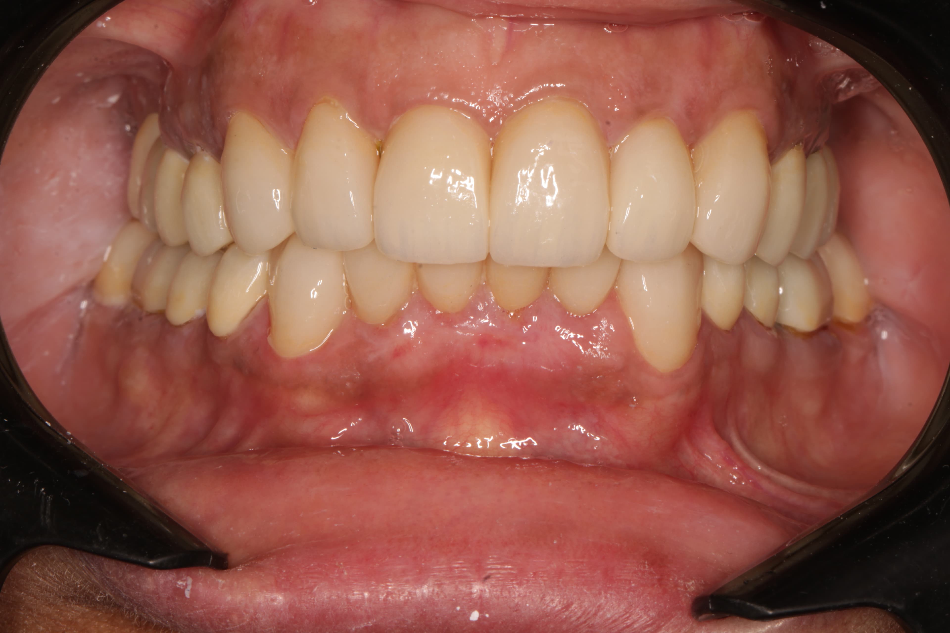
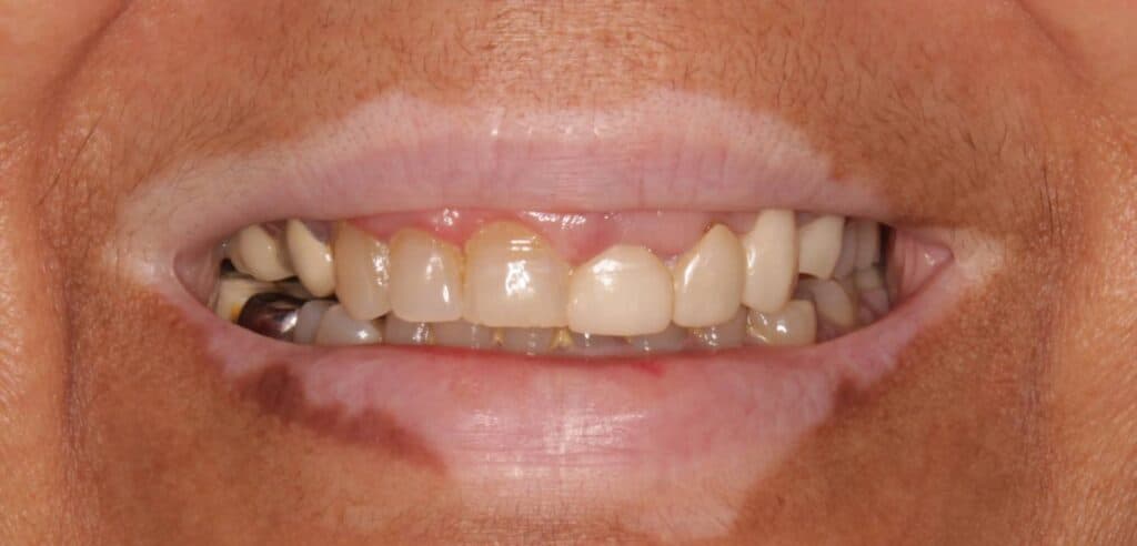
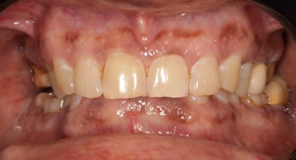
Gallery
Before & After









